Dental Associates of New England Personalized Care at a Spa-Like Boston, MA, Office
Patients from Suffolk County and beyond travel to our LEED-certified office for advanced care. Whether you need general, restorative, or cosmetic dentistry treatments, you can rely on our friendly Boston dentists. Visit us in Copley Square for your next appointment.

Details for Your Visit
Patient Forms
You can access privacy, permissions, and registration forms beforehand, allowing you to fill them out ahead of time.
Public Transportation
We're around the corner from the Copley Green Line station and right across from Copley Square. If you're coming on the Orange Line, get off at Back Bay and head up Dartmouth St. to Boylston.
Parking Options
There's street parking available around our downtown office. You can also park in the Back Bay Garage on St. James Ave.
Nearby Businesses
Dental Associates of New England is located between CVS Pharmacy and the New Balance Store.
Suite Number
Head through the door with "585" engraved above it. Once you go inside, you'll find us in suite number two.
Look Around Our Office Before Your Appointment
The Advantages of Our Boston Office
Surgical Suite
When you visit our practice, you can receive advanced care in our surgical suite. It's accompanied by a sterilization room and a disinfection unit for safe and thorough dental care.
On-Site Lab
Our Boston office features its very own bridge and crown lab, which we craft restorations in. It also has an Invisalign® lab, which we make your models in.
Stunning Sights
Want to take in the sights and relax? We have eight different operatories available for appointments, each with their own view of Copley Square.
LEED Certification
We're true innovators in our field, having earned leadership in engineering and environmental design (LEED) certification. Our energy-efficient equipment means your care is truly optimized.
Suffolk County, MA, Patients Appreciate Our Caring Environment
Dr. Meola Proudly Works as the Official Dentist For Well-Known Organizations Like:
- The Boston Celtics
- The New England Patriots
- Miss America Massachusetts
- Miss Teen Massachusetts
- Miss USA
- Miss Massachusetts USA
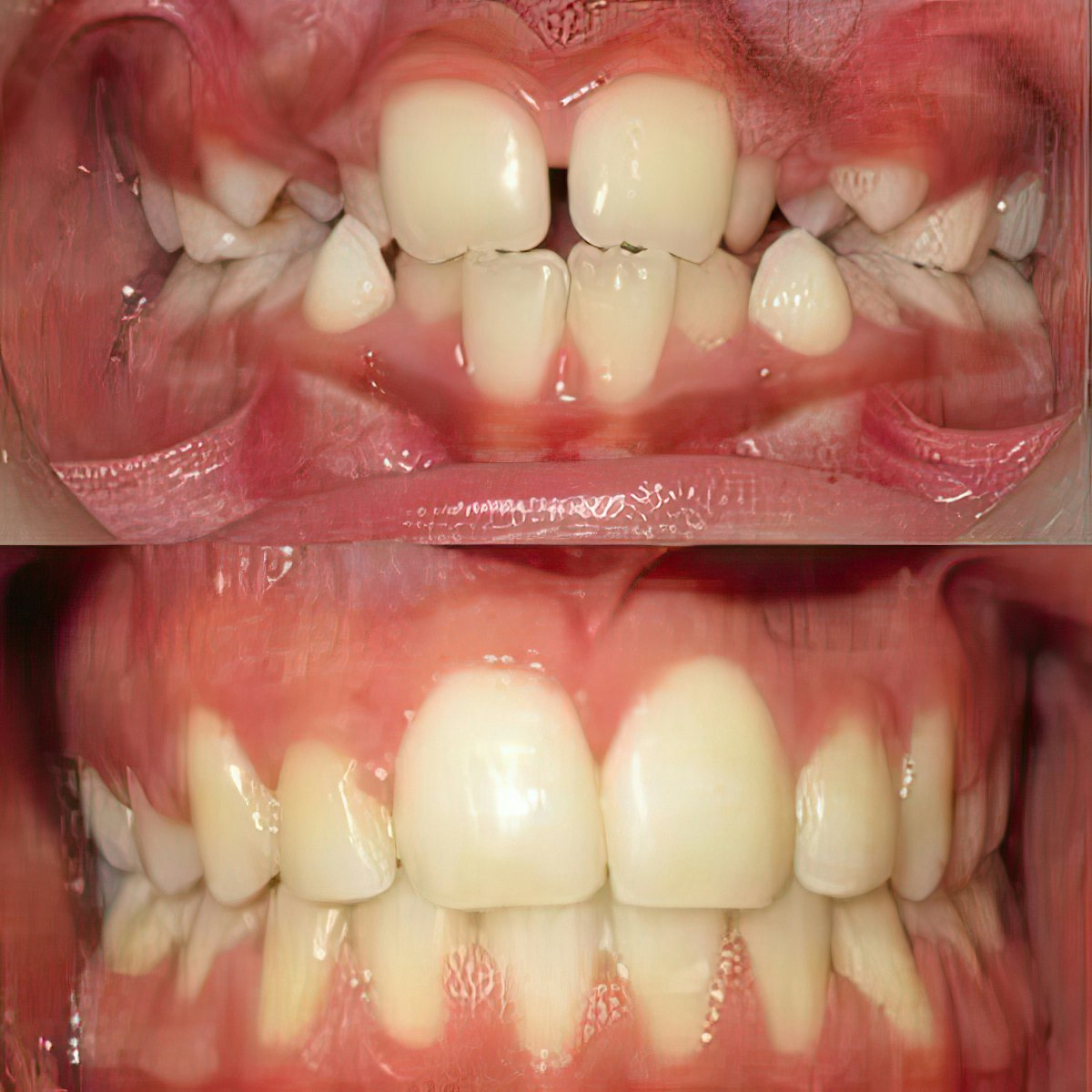
Popular Treatments At Our Boston Office
Our Full List Of Dentistry Treatments
- AcceleDent®
- Athletic Guards
- Braces
- Cleanings and Exams
- Cosmetic Dentistry
- Dental Crowns
- Dental Bonding
- Dental Bridges
- Dental Implants
- Dental Sealants
- Fluoride Treatments
- Invisalign
- Night Guards
- Oral Surgery
- Periodontal Treatments
- Porcelain Veneers
- Preventative Dentistry
- Restorative Dentistry
- Root Canal Therapy
- Sedation Dentistry
- Smile Makeovers
- TMJ Treatments
- Tooth-Colored Braces
- Tooth-Colored Fillings
- Tooth Contouring
- Zoom! Teeth Whitening
Flexible Financing And Insurance Accepted
We know that cost can be one of the most stressful parts of visiting the dentist. To make your visit easier, our Boston team accepts most insurances. You can also use financing from CareCredit® so you can spread out the cost of your treatment.







